【医療提携】美肌専門店 TIARA 葛西店 毛穴/肌質改善/ハーブピーリング/脱毛
イリョウテイケイビハダセンモンテンティアラカサイテン ケアナハダシツカイゼンハーブピーリングダツモウ
- エステ
- リラク
- 東京都江戸川区東葛西5-13-13 フローラル東葛西2 2F
- 東京メトロ東西線「葛西駅」徒歩2分【美容医療提携◆信頼実績店】人気の韓国肌質管理
ティアラ 葛西店(TIARA)のクーポン
- 新規
- サロンに初来店の方
- 再来
- サロンに2回目以降にご来店の方
- 全員
- サロンにご来店の全員の方
|
新 規 |
¥7,980 【初めての方に】透明感ケア☆美肌光フェイシャル+高濃度VCイオン導入
|
|
新 規 |
¥8,980 【人気No. 1★たまご肌ピーリング付き】美肌光フェイシャル+VCイオン導入
|
|
新 規 |
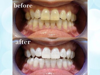
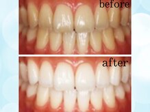
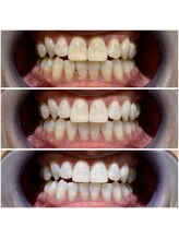
¥11,980 【歯も肌も一気に垢抜け★】美白ツヤ肌トータルケア ¥18,500→
|
|
新 規 |
¥8,300 【韓国肌管理】ララピール(全顔)★水光肌コース ¥9,800→
|
|
新 規 |
¥9,800 【肌質改善】 TIARAハーブピーリング集中ケア
|
|
新 規 |
¥8,980 【ニキビ予防/赤み】肌荒れ鎮静プラズマケア ¥11,800→
|






















































