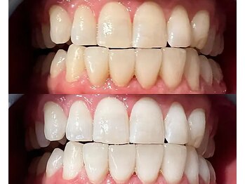
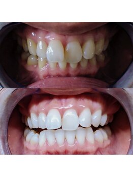
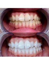
ホワイトニング専門店 Light Care Salon 表参道店 【ライトケアサロン】
ホワイトニングセンモンテン ライトケアサロン オモテサンドウテン
- エステ
- リラク
- 東京都渋谷区渋谷1-5-12 第二西青山ビル2F
- 口コミ4.76 渋谷駅徒歩5分 表参道駅から徒歩8分☆ (ホワイトニング 表参道 渋谷)
ライトケアサロン 表参道店(Light Care Salon)のクーポン
- 新規
- サロンに初来店の方
- 再来
- サロンに2回目以降にご来店の方
- 全員
- サロンにご来店の全員の方
|
新 規 |
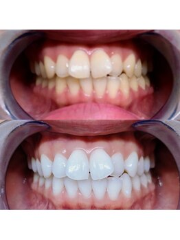
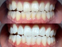
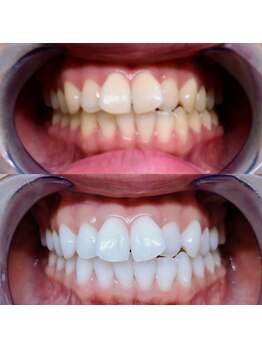
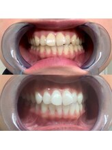
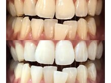
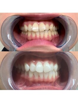
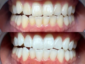
¥9,800 *1番人気*【1日3名様限定価格】【圧倒的効果】通常の6倍照射♪9,800円
|
|
新 規 |
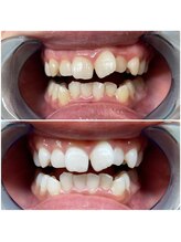
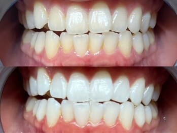
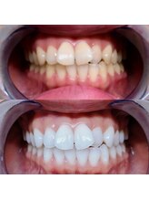
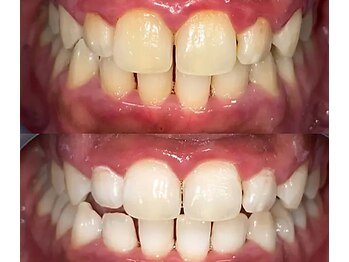
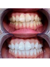
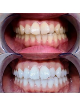
¥2,480 【1日3名様限定価格】初回体験!白さ実感!ホワイトニング10分×3回 ¥2,480
|
|
新 規 |
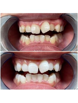
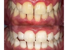
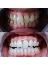
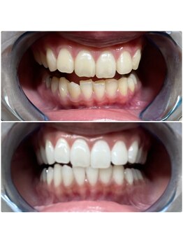
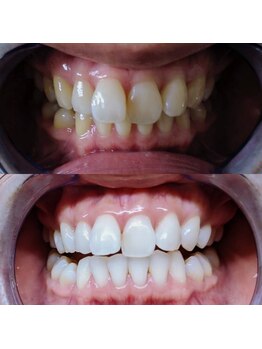
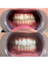
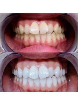
¥1,980 学割U24【1日2名様限定価格】セルフホワイトニング10分×3回 ¥26,400→¥1,980
|
|
全 員 |
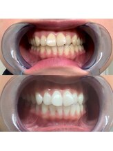
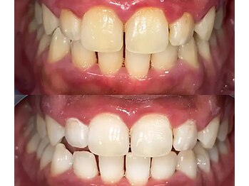
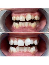
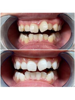
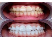
¥8,000 ≪都度払いOK◎≫セルフホワイトニング10分×2回 ¥16,000→¥8,000
|
|
新 規 |
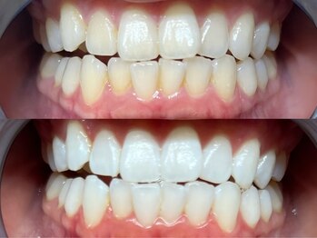
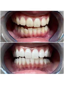
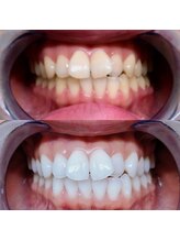
¥30,000 <回数券>ホワイトニング10分×10回券 ¥80,000→¥30,000
|
|
新 規 |
¥50,000 <回数券>ホワイトニング10分×20回券 ¥160,000→¥50,000
|

































































































