B-st. 下北沢店【フェイシャル/セルフエステ/脱毛/ホワイトニング】
ビースト シモキタザワテン フェイシャル セルフエステ ダツモウ ホワイトニング
- エステ
- リラク
- 東京都世田谷区北沢2-10-12 三立ビル3階
- 下北沢駅から徒歩1分(小田急線東口改札/京王井の頭線中央口改札)
ビースト 下北沢店(B-st.)のクーポン
- 新規
- サロンに初来店の方
- 再来
- サロンに2回目以降にご来店の方
- 全員
- サロンにご来店の全員の方
|
新 規 |
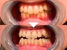
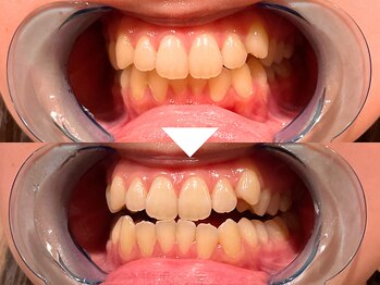
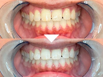
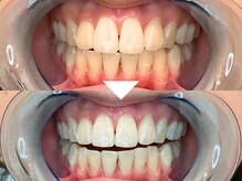
¥2,480 2月限定【セルフホワイトニング体験|20分照射】¥2880→\¥2480/
|
|
新 規 |
¥2,880 【セルフホワイトニング体験|20分照射】簡単お試し!初めての方に◎ ¥2880
|
|
新 規 |
¥3,500 【セルフホワイトニング体験|30分照射】日々の定期メンテナンスに◎ ¥3500
|
|
新 規 |
¥4,000 【セルフホワイトニング体験|40分照射】当店最長の照射時間! ¥4000
|
|
新 規 |
¥6,000 数量限定!歯磨き粉プレゼント【セルフホワイトニング体験|40分照射】¥6000
|
|
新 規 |
¥1,400 【セルフ脱毛体験|選べる部位15分】気になる部分脱毛に ¥1400
|








































