シカテイケイ ホワイトニングスタイル カシワテン
- エステ
- リラク
- 千葉県柏市柏3-10-30第3泉ビル 310
- 柏駅東口徒歩5分【低価格で本格ホワイトニングを体験!】2025年リニューアルOPEN
ホワイトニングスタイル 柏店のクーポン
- 新規
- サロンに初来店の方
- 再来
- サロンに2回目以降にご来店の方
- 全員
- サロンにご来店の全員の方
|
全 員 |
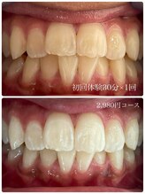
¥2,000 【4/14.15.16限定!!】セルフホワイトニング30分照射¥12,800→¥2,000
|
|
新 規 |
¥2,980 【期間限定】最新マシーン!セルフホワイトニング30分照射平均5.6トーンUP♪
|
|
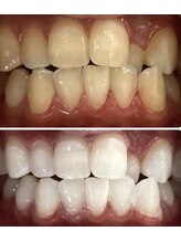
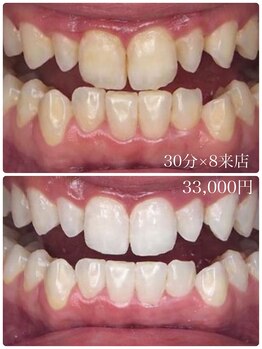
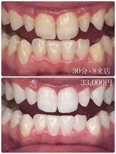
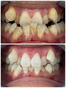
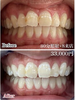
新 規 |
¥33,000 【人気No.1★】30分×8来店チケット これで真っ白に!通常105,600円→33000円
|
|
新 規 |
¥1,980 【学割U24】セルフホワイトニング20分照射平均2.3トーンアップ★/1980円
|
|
新 規 |
¥4,980 【1日3名限定】初回セルフホワイトニング30分+着色分解作用の歯磨き粉付き♪
|
|
新 規 |
¥5,000 【ペア割】セルフホワイトニング(30分照射) 26400円→5000円※お1人2500円
|


































































