ホワイトニングビューティーキチジョウジテン
- エステ
- リラク
- 東京都武蔵野市吉祥寺本町1-32-9 モトハシビル206
- 吉祥寺駅徒歩3分/セルフホワイトニング/LEDフェイシャル/LEDスカルプケア
ホワイトニングビューティー 吉祥寺店のブログ
サロンのNEWS
投稿日:2026/2/8
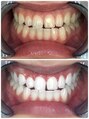
- 【お悩み】口臭・黄ばみ・歯並び…
- みなさん、こんにちは!

ホワイトニングビューティー吉祥寺店です^^
突然ですが、みなさまには「コンプレックス」はありますか?
・口臭
・黄ばみ・着色
・歯並び
口周りのお悩みも人それぞれだと思います。
これらすべてを一度に解決できるのが当店のセルフホワイトニングです!
歯並びは無理でしょ。と思いますよね?
「口元(歯並び)に自信がなかったけど、ホワイトニングをして気にせず笑えるようになりました!」
先日、お客さまからこのような感想をいただきました!
実際、ホワイトニングをして歯並びが気にならなくなった。というお客さまが多いんです!
歯列矯正はお金も時間もかかるから・・と踏み出せない方は
まずは、気軽にできるセルフホワイトニングがおすすめです★
歯を白くするだけでなく、口臭予防・歯周病予防の効果も◎
当店のホワイトニングは食事制限もなく、
ご自身のペースで通えるので、忙しい方もおすすめです^^
ご予約お待ちしてます~!
-/-/-/-/-/-/-/-/-/-/-/-/-/-/-/-/-/-/-/-/-/-/-/-/-/-/-/-
セルフホワイトニングサロン
ホワイトニングビューティー吉祥寺店
住所:東京都武蔵野市吉祥寺本町1-32-9 モトハシビル206
JR吉祥寺駅より徒歩3分
電話番号:080-7660-8383
営業時間:11:00~21:00(最終受付:19:30)
Instagram:whitening_beauty_kichijoji
LINE:@745bzpxq
-/-/-/-/-/-/-/-/-/-/-/-/-/-/-/-/-/-/-/-/-/-/-/-/-/-/-/-
セルフホワイトニング
セルフエステ/LEDフェイシャルエステ
LEDスカルプケア/細胞活性化
吉祥寺ホワイトニング
武蔵野市ホワイトニング
ホワイトニング吉祥寺
ホワイトニング武蔵野市
ホワイトニング渋谷
ホワイトニング三鷹
ホワイトニング荻窪
ホワイトニング国分寺
ホワイトニング久我山
ホワイトニング立川
歯磨き粉
白い歯/LEDエステ
プラチナムビューティー
ホワイトニングビューティー
ライトビューティー
総武線/中央線/井の頭線
武蔵野市/吉祥寺/三鷹/荻窪
学割U24/フェイシャル/エステ
ニキビ跡/ニキビケア/美白ケア
毛穴ケア/たるみケア/シミケア/シワケア/スカルプケア
薄毛ケア/髪の毛/乾燥/ターンオーバー促進
肌質改善/脂性頭皮/乾燥頭皮/口臭予防
おすすめクーポンはこちら↓
おすすめクーポン
|
新 規 |
¥2,970 【お試し♪】高評価の効果実感★セルフホワイトニング30分 ¥13200→¥2,970
|

ご来店お待ちしております
スタッフ
WB吉祥寺 スタッフキチジョウジ スタッフ
投稿者
サロンの最新記事
-
●2026/4/14
-
●2026/4/13
-
●2026/4/12
-
●2026/4/11
-
●2026/4/8
記事カテゴリ
スタッフ
過去の記事
- 2026年4月分(12)
- 2026年3月分(24)
- 2026年2月分(21)
- 2026年1月分(26)
- 2025年12月分(26)
- 2025年11月分(28)
- 2025年10月分(13)
- 2025年9月分(22)
- 2025年8月分(17)
- 2025年7月分(19)
- 2025年6月分(21)
- 2025年5月分(27)
- 2025年4月分(30)
- 2025年3月分(29)
- 2025年2月分(27)
- 2025年1月分(16)
- 2024年12月分(12)
- 2024年11月分(9)
- 2024年10月分(10)
- 2024年9月分(10)
- 2024年8月分(14)
- 2024年7月分(17)
- 2024年6月分(13)
- 2024年5月分(12)
- 2024年4月分(22)
- 2024年3月分(15)
- 2024年2月分(19)
- 2024年1月分(17)
- 2023年12月分(17)
- 2023年11月分(24)
- 2023年10月分(25)
- 2023年9月分(48)
- 2023年8月分(60)
- 2023年7月分(50)
- 2023年6月分(38)
- 2023年5月分(45)
- 2023年4月分(38)
- 2023年3月分(2)
- 2023年2月分(6)
- 2023年1月分(8)
- 2022年12月分(1)
- 2022年11月分(9)
- 2022年10月分(0)
- 2022年9月分(0)
- 2022年8月分(0)
- 2022年7月分(0)
- 2022年6月分(0)
- 2022年5月分(0)
- 2022年4月分(0)
もっと見る
ホワイトニングビューティー 吉祥寺店のクーポン
- 新規
- サロンに初来店の方
- 再来
- サロンに2回目以降にご来店の方
- 全員
- サロンにご来店の全員の方
|
新 規 |
¥990 【先着5名で即終了】新生活応援クーポン!ホワイトニング15分照射 990円♪
|
|
新 規 |
¥19,800 人気NO.1【プレミアムコース】セルフホワイトニング(30分×3来店) ¥19,800
|
|
新 規 |
¥2,970 【お試し♪】高評価の効果実感★セルフホワイトニング30分 ¥13200→¥2,970
|
|
新 規 |
¥5,480 人気NO.2【ハイパワーロング照射】セルフホワイトニング(45分)¥5,480
|
|
新 規 |
¥2,500 【U24学割クーポン】セルフホワイトニング30分 ¥13200→¥2500
|
|
新 規 |
¥9,980 【たまご肌で透明感UP】フェイシャルワックス+LEDフェイシャル+高濃度パック
|

