シロサロン(silo salon)のクーポン
- 新規
- サロンに初来店の方
- 再来
- サロンに2回目以降にご来店の方
- 全員
- サロンにご来店の全員の方
|
新 規 |
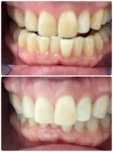
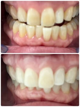
¥2,980 まだ間に合う!白い歯◎\卒業式*入園式*入学式/高濃度ホワイトニング¥2980
|
|
新 規 |
¥2,980 \初回¥2980/【垢抜けホワイトニング】高濃度ジェルで結果100%メンズ大歓迎
|
|
新 規 |
¥2,980 【ブライダル*結果100%実感】高濃度ホワイトニング8分×2回¥2980
|
|
新 規 |
¥5,480 \ペア来店でお得◎/高濃度ホワイトニング(8分×2回) ¥5480
|
|
全 員 |
¥2,980 \U24★学割/垢抜け/高濃度ジェル セルフホワイトニング(8分×2回)¥2980
|
|
新 規 |
¥2,980 \40代・50代/白い歯で清潔感UP◎/高濃度ホワイトニング(8分×2回)¥2980
|




























