セルフホワイトニングサロン エクシアホワイトニングニホンバシテン
- エステ
- リラク
- 東京都中央区日本橋人形町1-1-22 グランピアビル7F
- 人形町駅2分/水天宮前駅4分/茅場町駅7分【口コミ4.9のホワイトニングサロン】
エクシアホワイトニング 日本橋店のクーポン
- 新規
- サロンに初来店の方
- 再来
- サロンに2回目以降にご来店の方
- 全員
- サロンにご来店の全員の方
|
新 規 |
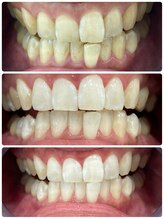
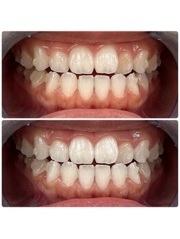
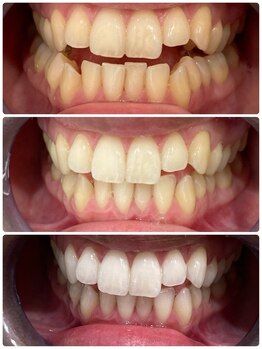
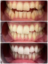
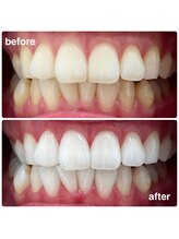
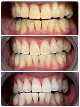
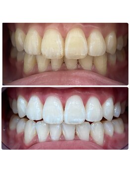
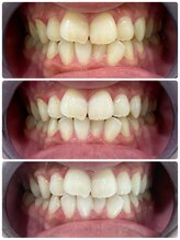
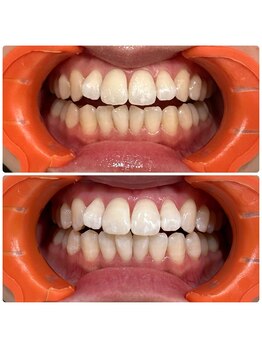
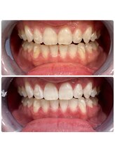
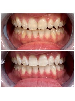
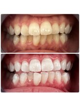
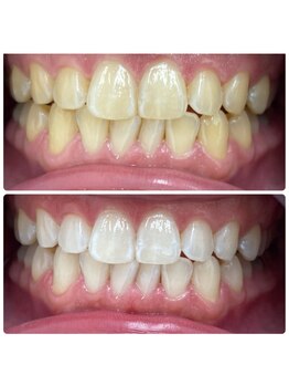
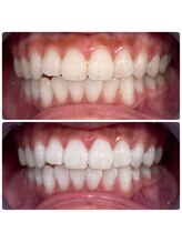
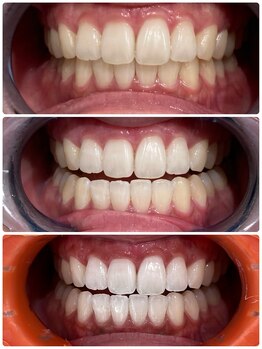
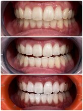
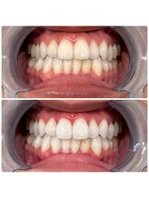
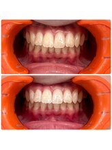
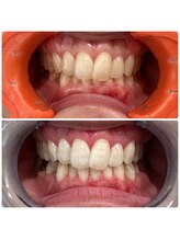
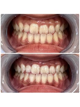
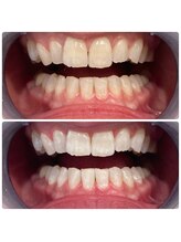
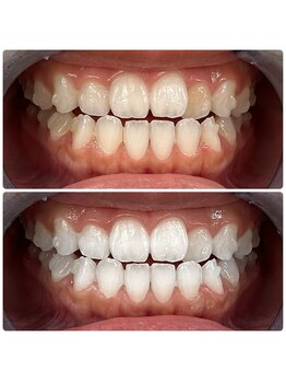
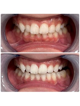
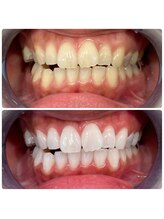
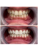
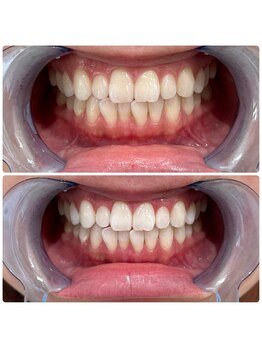
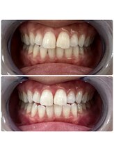
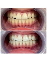
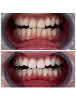
¥1,100 【口コミ投稿必須】平日10時~16時迄!ホワイトニング★¥8,800→¥1100★
|
|
新 規 |
¥1,980 【平日限定】¥8,800→¥1,980★1回でも効果ありと大好評◎
|
|
新 規 |
¥2,980 ★¥8,800→¥2,980★1回で白さ実感ホワイトニング★口コミ大好評◎
|
|
新 規 |
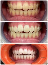
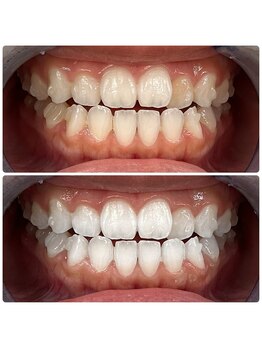
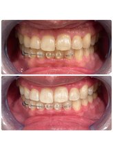
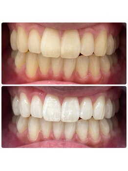
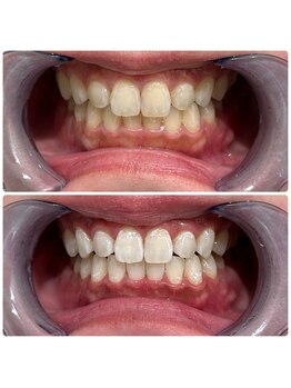
¥6,600 【医療機関提携】プレミアムホワイトニング(15分×2回)¥11,000→6600円
|
|
新 規 |
¥11,000 【医療機関提携】スペシャルホワイトニング(15分×3回)★¥14,500→¥11,000
|
|
新 規 |
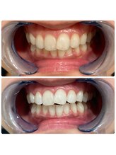
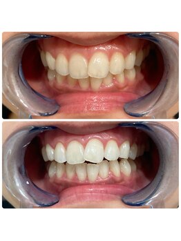
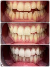
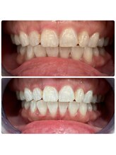
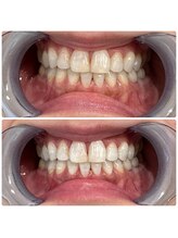
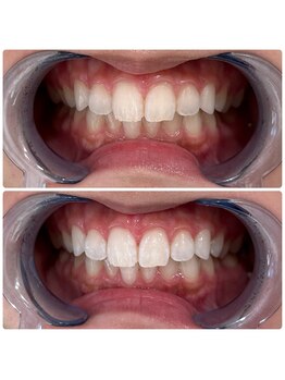
¥5,500 【ペア割】¥17,600→¥5500★カップル!ご夫婦!お友達と一緒にホワイトニング
|

































































