ホワイトニングサロンピースドットオオムラテン
- エステ
- リラク
- 長崎県大村市東三城町7-4大村ビル2F
- 大村駅から徒歩1分
浦越 彩香
ウラコシ アヤカ- よろしくお願いいたします♪
- 初めての方でもご説明しながら進めていきますので、是非お気軽にご来店下さい♪皆様の歯を白くするのが楽しいです。
-

丁寧な説明を心がけています♪お客様の喜んで下さる笑顔が好き♪
-

初めて猫飼ってます!毎日癒されるー♪
- 施術歴
- 1年

このスタッフの新着高評価口コミ
-
はぎちゃんさん(女性/20代後半/会社員)
[投稿日] 2025/10/18
- 総合5★★★★★
- 雰囲気5
- 接客サービス5
- 技術・仕上がり4
- メニュー・料金5
初めてのホワイトニングでドキドキでしたが、丁寧に説明してくださって安心して利用することができました。ちゃんとこちらの歯の色の状態を見て今後のホワイトニングへのアドバイスをしていただけたのでぜひ、今後も利用したいと思いました。スタッフさんが明るく迎えてくださってとても居心地よかったです。
予約時のクーポン・メニュー
- ジャンル
スタンダードコース 4000円→3500円
-
あおちさん(女性/20代前半/会社員)
[投稿日] 2025/9/15
- 総合5★★★★★
- 雰囲気5
- 接客サービス5
- 技術・仕上がり5
- メニュー・料金5
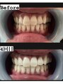
今回はかなりトーンアップしてすごく白くなりました^_^
予約時のクーポン・メニュー
- ジャンル
スタンダードコース 4000円
-
あおちさん(女性/20代前半/会社員)
[投稿日] 2025/9/6
- 総合5★★★★★
- 雰囲気5
- 接客サービス5
- 技術・仕上がり5
- メニュー・料金5
ホワイトニング毎度のことで最高です!
式までに白くなるのが楽しみです!予約時のクーポン・メニュー
- ジャンル
スタンダードコース 4000円
ホワイトニングサロンPEACE.大村店からの返信コメント
いつも当サロンをご利用いただきありがとうございます♪
結婚式という晴れやかな日のお手伝いができることを大変嬉しく思います!!
ドレスも歯も真っ白であおち様の輝く姿が目に浮かびます♪
またお待ち致しております!!
ピースドット 大村店(PEACE.)のクーポン
- 新規
- サロンに初来店の方
- 再来
- サロンに2回目以降にご来店の方
- 全員
- サロンにご来店の全員の方
|
新 規 |
¥3,500 スタンダードコース 4000円→3500円
|
|
新 規 |
¥4,000 プレミアムコース 4500円→4000円
|
|
新 規 |
¥6,500 お急ぎコース 7000円→6500円
|
|
全 員 |
¥3,000 【学割U24】学生様限定のコース 4000円→3000円
|
|
全 員 |
¥7,500 1day 美白!1日で実感できる白へ!
|
|
全 員 |
¥0 無料カウンセリング 0円
|



