アデル 久留米(ADEL)のクーポン
- 新規
- サロンに初来店の方
- 再来
- サロンに2回目以降にご来店の方
- 全員
- サロンにご来店の全員の方
|
新 規 |
¥6,980 【韓国水光艶肌!】女性に人気♪フェイシャルワックス《全顔》¥8,800→¥6,980
|
|
新 規 |
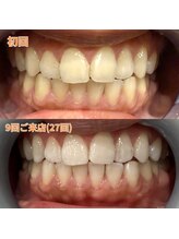
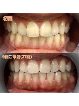
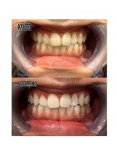
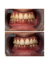
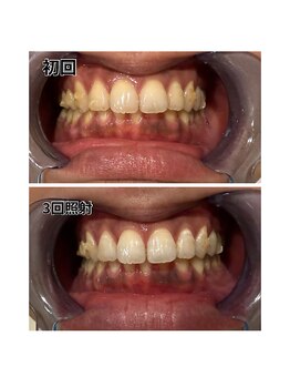
¥5,980 【ブライダル前にオススメ】集中ホワイトニング(30分照射) ¥5,980
|
|
全 員 |
¥6,000 【学割U22】《全顔》フェイシャルワックス¥8,800→¥6,000
|
|
新 規 |
¥6,980 毛穴黒ずみ、くすみ改善!フェイシャルワックス(全顔)☆¥8,800→¥6,980
|
|
全 員 |
¥3,980 【都度払い】女性☆気になる部位フェイシャルワックス《2部位》¥3,980
|
|
全 員 |
¥8,800 【都度払い】女性☆フェイシャルワックス《全顔》 ¥8,800
|









































































