ココホワイトニング アンド ビューティー
- エステ
- リラク
- 茨城県つくば市谷田部2417-97(陣場F7街区6)
- つくばエクスプレスみどりの駅・万博記念公園駅どちらからも車で約5分。駐車場あり。
ココホワイトニング(coco whitening)のクーポン
- 新規
- サロンに初来店の方
- 再来
- サロンに2回目以降にご来店の方
- 全員
- サロンにご来店の全員の方
|
新 規 |
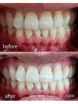
¥2,980 【ご新規様限定】黄ばみ汚れを 落とす歯科衛生士のホワイトニング¥2980
|
|
全 員 |
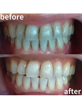
¥9,900 【しっかり白くしたい方へ】集中ホワイトニング40分照射¥9,900
|
|
新 規 |
¥3,980 【火・木限定18時~】歯科衛生士の初回ホワイトニング16分照射 ¥3,980
|
|
再 来 |
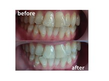
¥5,200 【都度払いの方】黄ばみ汚れを落とす 歯科衛生士のホワイトニング¥5,200
|
|
全 員 |
¥5,000 【花嫁様人気】ブライダルホワイトニング+ぷるぷるリップエステ¥5,000
|
|
全 員 |
¥16,000 【まずは色定着】自然な白さをキープ♪16分×4回券¥16,000円(1回¥4,000)
|



























































