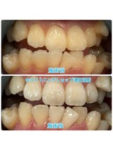
【歯科提携】歯のセルフホワイトニング専門店 ホワイトニングショップ 津田沼店
シカテイケイハノセルフホワイトニングセンモンテンホワイトニングショップ ツダヌマテン
- エステ
- リラク
- 千葉県船橋市前原西2-22-17 ツダヌマスクエアビル302
- JR津田沼駅徒歩5分♪/建物3階エレベーター有り【歯のホワイトニング専門店】
ホワイトニングショップ 津田沼店のクーポン
- 新規
- サロンに初来店の方
- 再来
- サロンに2回目以降にご来店の方
- 全員
- サロンにご来店の全員の方
|
再 来 |
¥0 【回数券をお持ちの方】既存様専用次回予約クーポン
|
|
再 来 |
¥0 【回数券シェア初利用の方専用】回数券シェアを初めてご利用の方はこちらから
|
|
新 規 |
¥1,980 【4/1-15日限定 残6名】新生活応援♪ 40分照射¥8,980→¥1,980 男性も◎
|
|
新 規 |
¥1,980 【4/16-30日限定 残14名】新生活応援!40分照射¥6,980→¥1,980 男性も◎
|
|
新 規 |
¥1,500 【学割U24 平日予約限定】新規¥6,980→¥1,500 計40分照射 男性も◎
|
|
新 規 |
¥3,980 【効果重視で憧れの白い歯へ】20分×2回照射 ¥6,980→¥3,980 男性も◎
|



































































