クーポン34件 メニュー28件 あります
1/2ページ 次へ
価格は税込表示です。
クーポンは予告なく内容を変更・終了する可能性があります。
ミルト(milde)のクーポン
|
新 規 |
¥4,800 【OPEN記念キャンペーン】パラジェルワンカラ―orマグネット¥4,800 ![]() 【他店オフ無料!】OPEN記念特別価格でパラジェルワンカラ―orパラジェルマグネットワンカラ―を¥4,800でお試しいただけます◎※学割併用不可となります。
|
|
新 規 |
¥5,500 【ご新規様オフ無料】パラジェルワンカラ― ¥6,000→¥5,500 ![]() 全メニュー人気のパラジェル&ケア込み♪ワンカラ―仕上げ・ストーン6粒まで無料!爪をいたわりながらシンプルネイルを楽しみたい方に◎
|
|
新 規 |
¥6,000 【ご新規様オフ無料】パラジェル グラデーションネイル ¥6,500→¥6,000 ![]() 全メニュー人気のパラジェル&ケア込み♪グラデーション仕上げ・ストーン6粒まで無料!爪をいたわりながらシンプルネイルを楽しみたい方に◎※マグネットネイルに変更可
|
|
新 規 |
¥6,000 【ご新規様オフ無料】パラジェル フレンチネイル ¥6,500→¥6,000 ![]() 全メニュー人気のパラジェル&ケア込み♪フレンチデザイン仕上げ・ストーン6粒まで無料!爪をいたわりながらシンプルネイルを楽しみたい方に◎※マグネットネイルに変更可
|
|
新 規 |
¥5,500 【ご新規様オフ無料】パラジェル マグネットワンカラ― ¥6,000→¥5,500 ![]() 【全メニューパラジェル施術】ご新規様オフ無料♪人気のマグネットジェルワンカラ―です!嬉しいケア込み◎マグネットネイル/高崎/シンプルネイル
|
|
新 規 |
¥6,800 【ご新規様オフ無料】シンプルアートコース ¥7,300→6,800 ![]() 全メニュー人気のパラジェル&ケア込み♪ガラスフレンチ、チークネイルなどシンプルなデザインアートを楽しみたい方に◎※ご不明な点はお電話ください!
|
|
新 規 |
¥7,500 【ご新規様オフ無料】画像持ち込み◎やり放題アートコース ¥8,000→¥7,500 ![]() 全メニュー人気のパラジェル施術&ケア込み♪!フルアートの施術を受けたい方に◎持ち込みデザインOK!※キャラクター、ブランドロゴは承れませんのでご了承下さい。長さだし不可。
|
|
全 員 |
¥6,000 【1カ月以内オフ無料】パラジェルワンカラ― ¥6,000 ![]() 1か月以内の再来店でオフ無料!全メニュー人気のパラジェル&ケア込み♪ワンカラ―仕上げ・ストーン6粒まで無料!爪をいたわりながらシンプルネイル♪※マグネットネイルに変更可
|
|
全 員 |
¥6,500 【1か月以内オフ無料】パラジェル グラデーションネイル ¥6,500 ![]() 全メニュー人気のパラジェル&ケア込み♪グラデーション仕上げ・ストーン6粒まで無料!爪をいたわりながらシンプルネイルを楽しみたい方に◎※マグネットネイルに変更可
|
|
全 員 |
¥6,500 【1か月以内オフ無料】パラジェル フレンチネイル ¥6,500 ![]() 全メニュー人気のパラジェル&ケア込み♪フレンチデザイン仕上げ・ストーン6粒まで無料!爪をいたわりながらシンプルネイルを楽しみたい方に◎※マグネットネイルに変更可
|
|
全 員 |
¥7,300 【1か月以内オフ無料】シンプルアートコース ¥7,300 ![]() 全メニュー人気のパラジェル&ケア込み♪1か月以内の再来店でオフ無料!シンプルなデザインアートを楽しみたい方に◎※ご不明な点はお電話ください!
|
|
全 員 |
¥6,000 【1か月以内オフ無料】パラジェル マグネットワンカラ― ¥6,000 ![]() 全メニューパラジェル&ケア込み♪1か月以内の来店でオフ無料◎人気のマグネットジェルワンカラ―です!
|
|
全 員 |
¥8,000 【1か月以内オフ無料】持ち込みデザイン◎やり放題アートコース ¥8,000 ![]() 全メニュー人気のパラジェル施術&ケア込み♪!フルアートの施術を受けたい方に◎持ち込みデザインOK!※キャラクター、ブランドロゴは承れませんのでご了承下さい。長さだし不可。
|
|
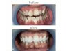
新 規 |
¥3,500 ホワイトニング【オープン記念★人気No.1】高濃度 45分 ![]() 人気No.1★しっかり白さ実感。痛み・食事制限なし♪迷ったらまずはこのコース! 【照射時間15分×2回】 セルフホワイトニング
|
|
新 規 |
¥2,500 ホワイトニング【オープン記念★初めての方に】高濃度 30分 ![]() 初めての方に★気軽に試せる基本コース。痛み・食事制限なし♪まずは白さ体験♪ 【照射時間8分×2回】 セルフホワイトニング
|
|
新 規 |
¥4,500 プレミアムホワイトニング【オープン記念★本気で白く】高濃度 50分 ![]() 最上位★より高い白さを目指す方へ。痛み・食事制限なし♪本気で白くしたい方に! 【照射時間10分×3回】 セルフホワイトニング
|
|
新 規 |
¥3,500 プレミアムホワイトニング【オープン記念★ワンランク上】高濃度 35分 ![]() スタンダード以上の白さへ★高濃度でツヤUP。平均5~6回で理想の白さに☆ 【照射時間10分×2回】 セルフホワイトニング
|
|
全 員 |
¥4,900 ホワイトニング【再来★白さキープ】高濃度 45分 ![]() 継続ケアに★安定した白さをキープ。痛み・食事制限なし♪理想のトーン維持に☆ 【照射時間15分×2回】 セルフホワイトニング
|
|
全 員 |
¥3,800 ホワイトニング【再来★時短メンテ】高濃度 30分 ![]() 短時間メンテ★忙しい方にも◎白さキープにおすすめ◎ 【照射時間8分×2回】 セルフホワイトニング
|
|
新 規 |
¥4,500 【県内希少/イベントやライブにも◎】ボディジュエリー/デザインコース ![]() 【2~3色以上使用/少し華やかなデザイン】SNSで話題◎肌に直接施すボディペイント×キラキラしたデコレーションでお好きな絵柄をデザインさせていただきます◎デコルテ、肩、うなじ、腕など
|
|
新 規 |
¥5,500 【県内希少/イベントやライブにも◎】ボディジュエリー/フルデザインコース ![]() 【4色以上/細かなデザイン】SNSで話題◎肌に直接施すボディペイント×キラキラしたデコレーションでお好きな絵柄をデザインさせていただきます◎デコルテ、肩、うなじ、腕など
|
|
新 規 |
¥1,500 【2週間で消える】ジャグアペイント(コインサイズ) ![]() 約2週間で消える話題のジャグアペイント/鎖骨や手首に可愛いコインサイズ/店舗にあるデザインから選んでいただきます/
|
|
新 規 |
¥2,000 【2週間で消える】ジャグアペイント(5cmサイズ 5×5) ![]() 約2週間で消える話題のジャグアペイント/鎖骨や手首、腕に可愛いサイズです/店舗にあるデザインから選んでいただきます
|
|
新 規 |
¥3,000 【2週間で消える】ジャグアペイント(カードサイズ 5cm×8cm) ![]() 約2週間で消える話題のジャグアペイント/鎖骨や手首、腕などに可愛いサイズ/店舗にあるデザインから選んでいただきます/
|
|
新 規 |
¥3,000 【眼精疲労/疲れ解消に◎】ヘッドマッサージ30分 ![]() パソコンやスマホ利用による目の疲れに◎
|
ミルト(milde)のメニュー
ジェル
|
【ハンド】パラジェルワンカラ― ¥6,000 全メニュー人気のパラジェル&ケア込み♪ワンカラ―仕上げ・ストーン6粒まで無料!※マグネットに変更可 |
|
|
【ハンド】パラジェル グラデーションネイル ¥6,500 全メニュー人気のパラジェル&ケア込み♪グラデーション仕上げ・ストーン6粒まで無料!※マグネットネイルに変更可 |
|
|
【ハンド】パラジェル フレンチネイル ¥6,500 全メニュー人気のパラジェル&ケア込み♪フレンチデザイン仕上げ・ストーン6粒まで無料!※マグネットネイルに変更可 |
|
|
【ハンド】シンプルアートコース ¥7,300 全メニュー人気のパラジェル&ケア込み♪ガラスフレンチ、チークネイルなどシンプルなデザインアートを楽しみたい方に◎ |
|
|
【ハンド】やり放題アートコース ¥8,000 フルアートの施術を受けたい方に◎持ち込みデザインOK!※キャラクター、ブランドロゴは承れませんのでご了承下さい。長さだし不可 |
フット
|
【フット】パラジェルワンカラ― ¥6,500 全メニュー人気のパラジェル&ケア込み♪ワンカラ―仕上げ・ストーン6粒まで無料!※マグネットネイルに変更可 |
|
|
【フット】パラジェル グラデーションネイル ¥7,000 全メニュー人気のパラジェル&ケア込み♪グラデーション仕上げ・ストーン6粒まで無料!※マグネットネイルに変更可 |
|
|
【フット】パラジェル フレンチネイル ¥7,000 全メニュー人気のパラジェル&ケア込み♪フレンチデザイン仕上げ・ストーン6粒まで無料!※マグネットネイルに変更可 |
|
|
【フット】シンプルアートコース ¥7,800 全メニュー人気のパラジェル&ケア込み♪ガラスフレンチ、チークネイルなどシンプルなデザインアートを楽しみたい方に◎ |
|
|
【フット】やり放題アートコース ¥8,500 フルアートの施術を受けたい方に◎持ち込みデザインOK!※キャラクター、ブランドロゴは承れませんのでご了承下さい。長さだし不可 |
付替オフ ※付替オフメニューはネイルメニューとセットで予約してください。
|
【1カ月以上経過した方】自店オフ ¥500 |
付替オフメニューは |
|
【1か月以内の再来店の方】自店オフ ¥0 |
付替オフメニューは |
|
他店オフ ¥1,000 |
付替オフメニューは |
|
【ご新規様】他店オフ ¥0 |
付替オフメニューは |
その他メニュー(リラク)
|
【県内希少/イベントやライブにも◎】ボディジュエリー/シンプルコース ¥3,500 【単色/シンプルなデザイン】SNSで話題◎肌に直接施すボディペイント×キラキラしたデコレーションでお好きな絵柄をデザインさせていただきます◎ |
|
|
【県内希少/イベントやライブにも◎】ボディジュエリー/デザインコース ¥4,500 【2~3色/少し華やかななデザイン】SNSで話題◎肌に直接施すボディペイント×キラキラしたデコレーションでお好きな絵柄をデザインさせていただきます |
|
|
【県内希少/イベントやライブにも◎】ボディジュエリー/フルデザインコース ¥5,500 【4色以上/華やかななデザイン】SNSで話題◎肌に直接施すボディペイント×キラキラしたデコレーションでお好きな絵柄をデザインさせていただきます |
|
|
【ジャグアボディペイント】 ¥1,500 【コインサイズ】約2週間で消えるジャグアボディペイント◎人気の鎖骨部分などに施すと可愛いです◎基本は当店にあるデザインから選んでいただきます |
|
|
【ジャグアペイント】 ¥2,000 【5cmサイズ(5×5)】2週間で消えるジャグアペイント◎存在感があって可愛いサイズです◎基本は当店にあるデザインから選んでいただきます |
|
|
【ジャグアペイント】 ¥3,000 【カードサイズ(5cm×8cm)】2週間で消えるジャグアペイント◎腕部分などにピッタリ/基本は当店にあるデザインから選んでいただきます |
ボディケア・マッサージ
|
【眼精疲労/疲れ解消に◎】ヘッドマッサージ30分 ¥3,000 パソコンやスマホ利用による目の疲れに◎ |
その他メニュー(エステ)
|
【話題沸騰】耳つぼジュエリーシンプルコース(両耳10粒) ¥3,000 リフトアップ/小顔/肩こり/ストレス緩和などお悩みに合わせたツボを刺激し体の不調を改善◎片耳5粒・両耳10粒までお好きなパーツをお選びいただけます |
|
|
【話題沸騰】耳つぼジュエリーデザインコース(両耳20粒) ¥4,000 リフトアップ/小顔/肩こり/ストレス緩和などお悩みに合わせたツボを刺激し体の不調を改善◎片耳10粒両耳20粒までお好きなパーツをお選びいただけます |
その他メニュー(ネイル)
|
【県内希少/イベントやライブにも◎】ボディジュエリー/デザインコース 要問い合わせ 【2~3色/少し華やかななデザイン】SNSで話題◎肌に直接施すボディペイント×キラキラしたデコレーションでお好きな絵柄をデザインさせていただきます |
ネット予約対象外 |
フェイシャル
|
高濃度セルフホワイトニング30分 ¥3,800 照射時間8分×2回 |
|
|
高濃度セルフホワイトニング45分 ¥4,900 照射時間15分×2回 |
|
|
【プレミアム】高濃度セルフホワイトニング35分 ¥4,800 【 照射時間10分×2回 】更なる白さとツヤを求める方に。 |
|
|
【プレミアム】高濃度セルフホワイトニング50分 ¥5,900 【 照射時間10分×3回 】更なる白さとツヤを求める方に。 |


























