ホノルルホワイトニングキョウバシテン
- エステ
- リラク
- 大阪府大阪市都島区東野田町2-4-15 植嶋ビル3F
- 京阪京橋駅から徒歩1分/JR京橋駅から徒歩2分【ホワイトニング/セルフホワイトニング】
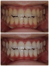
ホノルルホワイトニング 京橋店のクーポン
- 新規
- サロンに初来店の方
- 再来
- サロンに2回目以降にご来店の方
- 全員
- サロンにご来店の全員の方
|
新 規 |
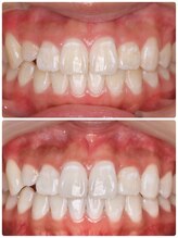
¥4,400 【1月限定♪】セルフホワイトニング15分照射×2回 ¥13,200 → ¥4,400!
|
|
新 規 |
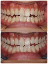
¥2,200 【歯科提携☆人気NO.1】セルフホワイトニング15分照射 ¥2,200
|
|
新 規 |
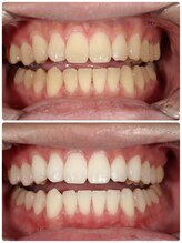
¥2,200 【OPEN記念】セルフホワイトニング15分照射 ¥2,200
|
|
新 規 |
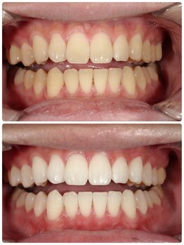
¥2,200 【学割U24】セルフホワイトニング15分照射 ¥2,200
|
|
新 規 |
¥2,200 【ブライダル】セルフホワイトニング15分照射 ¥2,200
|
|
全 員 |
¥6,600 【歯科提携☆人気NO.1】セルフホワイトニング15分照射 ¥6,600
|













