スマイルプライベートビューティサロン
- エステ
- リラク
- 大阪府大阪市都島区都島本通3-9-15 さくらビル4F
- 大阪市営地下鉄谷町線都島駅より徒歩5分/JR大阪環状線桜ノ宮駅より徒歩15分
スマイルプライベートビューティサロン(Smile)のクーポン
- 新規
- サロンに初来店の方
- 再来
- サロンに2回目以降にご来店の方
- 全員
- サロンにご来店の全員の方
|
新 規 |
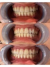
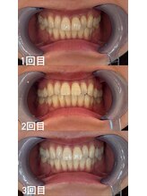
¥2,400 【4月限定】セルフホワイトニング30分照射(10分×3セット)1回¥5,390→
|
|
新 規 |
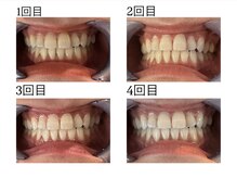
¥2,400 【4月木曜限定】セルフホワイトニング30分照射(10分×3セット)1回¥5,390→
|
|
新 規 |
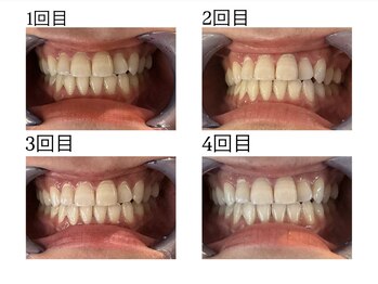
¥2,400 【平日15時~19時半限定】定】セルフホワイトニング30分照射(10分×3セット
|
|
新 規 |
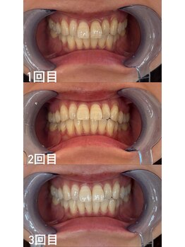
¥2,400 【4月限定学割】セルフホワイトニング30分照射(10分×3セット)1回¥5,390→
|
|
新 規 |
¥2,470 【初回モニター価格】セルフホワイトニング30分照射(10分×3セット ¥5,390→
|
|
新 規 |
¥2,970 【初回限定】セルフホワイトニング30分照射(10分×3セット) ¥5,390→
|







































