ボディケアアップ
- エステ
- リラク
- 佐賀県唐津市※この先の住所は非公開です。予約後に正式な住所をお伝えします。
- 東唐津駅から徒歩10分【ウィンバック痩身/トーンヌール温活/ホワイトニング】
ボディケアアップ(BODY CARE UP↑)のクーポン
- 新規
- サロンに初来店の方
- 再来
- サロンに2回目以降にご来店の方
- 全員
- サロンにご来店の全員の方
|
新 規 |
¥3,500 【温活で発汗デトックス♪】トーンヌールデトックス40分¥5.000→¥3,500
|
|
新 規 |
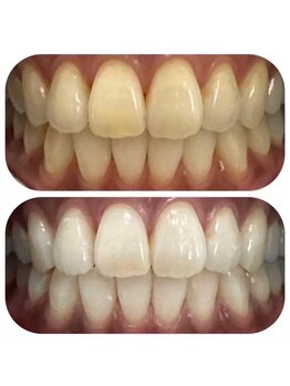
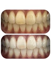
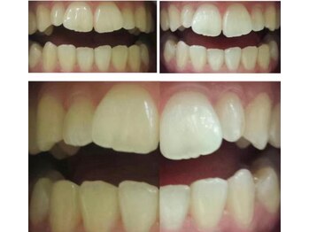
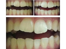
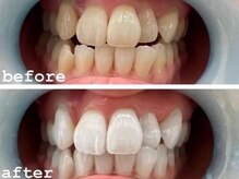
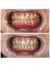
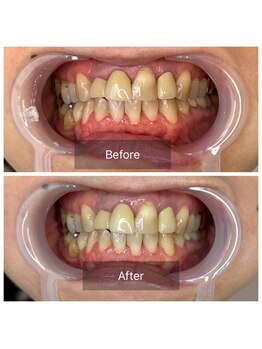
¥2,500 【4月限定/5名募集】セルフホワイトニング通常¥4,500→モニター価格¥2,500
|
|
新 規 |
¥7,000 【下半身のむくみ解消♪】WINBACK下半身引き締め60分¥13,000→¥7,000
|
|
新 規 |
¥7,000 【くびれボディに♪】WINBACKウエスト引き締め60分¥13,000→¥7,000
|
|
新 規 |
¥8,000 【首肩こり】WINBACK上半身+かっさオプション付70分¥13,000→¥8,000
|
|
新 規 |
¥7,000 【憧れの華奢な上半身】WINBACK上半身引き締め60分¥13,000→¥7,000
|
























