サロンを探す ~糸島・その他福岡エリアのネイル・まつげエクステサロン~
糸島・その他福岡エリアのネイル・まつげサロン
-
JilL原店【ジル】ネイル/マツエク/まつげパーマ/眉毛 UP
- ネイル
- まつげ・メイク
原イオン近く☆駐車場あり◎20~50代幅広い大人女性に人気の実力派サロン!眉・ネイル・まつげ同時施術可!
- アクセス
- 大型駐車場完備☆原イオン前/モスバーガーと同敷地【丁寧なカウンセリング×高技術】
- 設備
- 総数7(ネイル3/リクライニングチェア4)
- スタッフ
- 総数6人(施術者(ネイル)3人/施術者(まつげ)3人)
-
リラクゼーションサロン natural nico+
- リラク
- ネイル
【完全個室】極上オールハンド×アロマで疲労解消♪お子様のスポーツケアや男性の本格疲労回復にも◎
¥3,500
¥7,000
¥9,500
-
【自爪に優しいフィルイン対応】お子様連れでも寛げる完全個室のプライベートサロン♪上品なデザインが得意
¥4,000
¥5,000
¥5,500
-
八女市蒲原/最旬ネイルお任せ貸切プライベートnail salon!
¥5,500
¥6,000
¥6,200
-
JilL 荒江店[ジル]ネイル/マツエク/まつげパーマ/眉毛
- ネイル
- まつげ・メイク
- エステ
当日予約◎大人女性に大人気☆ネイル・まつげパーマ・マツエク☆丁寧な施術&高技術でリピート多数の実力店
- アクセス
- P有り♪9時~17時営業/荒江四角すぐ/ローソンの隣《マツエク・まつげパーマ・ネイル》
- 設備
- 総数7(チェア4/リクライニングチェア3)
- スタッフ
- 総数2人(施術者(ネイル)2人/施術者(まつげ)2人)
-
SHANDEEL desie 【シャンディールデジー】
- リラク
- エステ
- ネイル
★技術・接客自信あり★【口コミ 高評価サロン】お客様にあった施術をご提供いたします☆★
- アクセス
- JR周船寺駅から徒歩7分
- 設備
- 総数3(半個室3/完全個室1)
- スタッフ
- 総数4人(施術者(エステ)3人/施術者(ネイル)1人/スタッフ1人)
-
アイラッシュサロン LINDA 前原店 UP
- まつげ・メイク
-
トータルビューティー Azure【アジュール】
- まつげ・メイク
- ネイル
- エステ
☆NEWOPEN☆甘木駅から徒歩5分!通いやすさ◎高級感溢れる完全個室のプライベートサロン♪メンズも大歓迎!
- アクセス
- 西鉄甘木駅から徒歩5分/甘木鉄道 甘木駅から徒歩8分/JR田主丸駅から車で20分
- 設備
- 総数5(完全個室5)
- スタッフ
- 総数7人(施術者(エステ)4人/施術者(ネイル)1人/施術者(まつげ)2人)
-
Neutral by FLEAR 前原店
- まつげ・メイク
- リラク
-
WAVES eyelash salon 蒲原店
- まつげ・メイク
- エステ
-
【美容室内のネイルサロン☆】ヘアとの同時施術も可能◎定額デザイン・持ち込み・ケアメニューも充実☆
¥5,445
¥6,435
¥7,722
-
はあとねいる筑前前原店
- ネイル
当日予約OK!《業界最安!フィルイン無料》デザイン300種類以上選び放題★オフ代無料!
- アクセス
- JR筑肥線 筑前前原駅から徒歩3分
- 設備
- 総数3(ネイル3)
- スタッフ
- 総数3人(施術者(ネイル)3人)
¥4,400
¥4,400
¥4,400
-
Nail&Beauty NEON 八女店
- エステ
- リラク
- まつげ・メイク
- ネイル
久留米/筑後【格安都度払いサロン◎】ネイル¥3700♪スピード全身脱毛¥3500/まつエク付け放¥4500
- アクセス
- 清水公園、福島小学校近く
- 設備
- 総数2(ベッド2/リクライニングチェア1/ネイル2/完全個室3)
- スタッフ
- 総数7人(施術者(エステ)2人/施術者(まつげ)1人/施術者(ネイル)2人/施術者(リラク)2人)
-
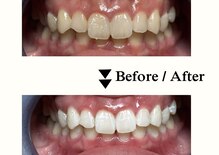
ホワイトニングサロン Lapo 【ラポ】 UP
- エステ
- ネイル
【糸島】現役歯科衛生士のいるホワイトニングサロン!お口のお悩み相談もお気軽に♪
¥4,500
¥9,800
-
Lino Moana/マツエク・パリジェンヌ
- まつげ・メイク
口コミ高評価◇糸島◇完全個室◇初回¥1000オフ★パリジェンヌ¥4500/パリエク¥9000/耳つぼジュエリー¥4000
- アクセス
- 福岡県糸島市神在東5※プライベートサロンの為、詳細は予約確定後にお知らせします
- 設備
- 総数1(リクライニングチェア1)
- スタッフ
- 総数1人(スタッフ1人)
¥8,000
¥4,500
¥6,000
-
糸島Newopen!【美フォルム】【高持続】のスカルプネイルが大人気★スカルプ4本持ち込みアートネイル¥9000
¥8,000
¥8,500
¥8,000
-
nail salon ten. UP
- ネイル
【初回他店/自店付け替えオフ無料】自爪を削らない、ずっと続けられるネイル!hand/foot同時施術可能です!
¥4,000
¥5,600
-
room.LICCA
- まつげ・メイク
-
【土日祝はご新規ご予約不可!!】豊富な知識と技術の朝倉No. 1ネイリスト!!パラジェル追加料金無料☆
- アクセス
- 甘木鉄道甘木駅から徒歩10分
- 設備
- 総数1(チェア1/リクライニングチェア1/ネイル1/ハンド1/フット1/完全個室1)
- スタッフ
- 総数1人(スタッフ1人)
10%オフ
¥15,000







































